Dr. Idrizi is a 2023 Invisalign® Platinum Plus Provider, which means she does more then 200 New Invisalign cases/year, and having completed hundreds of successful cases. At her practice, Plymouth Bay Dental, they use the latest technology and techniques to reduce costs, which allows her to offer rock bottom prices for Invisalign® compared to other dentists. Dr. Idrizi is a member of the American Academy of Clear Aligners and the Diamond Club Makers. She has taken countless continuing education classes in the latest Invisalign® procedures in order to provide her clients with treatment plans tailored to their needs.
Invisalign® Treatment in Plymouth, MA
The Best All-Inclusive Invisalign® Deal
We create beautiful smiles
Up to 50% Off Invisalign Treatment
Other dentists charge $6,500 - $7,500
New Title
Invisalign® Consult Form
We Specialize In Invisalign Clear Aligners
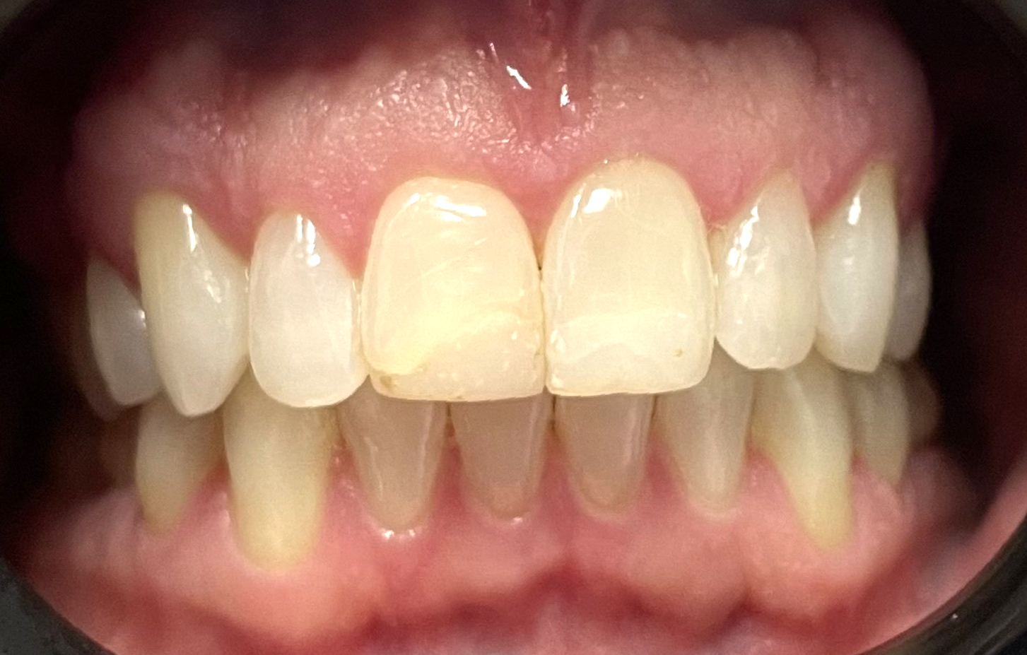
Transform your smile with Invisalign at Plymouth Bay Dental, the premier provider of Invisalign treatment in Plymouth, MA. With Invisalign, you can achieve the straight, confident smile you've always wanted without the need for metal brackets and wires. Our experienced team will create a personalized treatment plan tailored to your needs, ensuring optimal results.

What Is Invisalign?
Invisalign is a revolutionary orthodontic treatment that uses a series of clear, removable aligners to straighten teeth and correct dental misalignments. These aligners, made from transparent plastic, offer a discreet treatment experience compared to traditional metal braces. Invisalign works by applying gentle and controlled pressure on specific teeth, gradually moving them into their desired positions.
Benefits of Invisalign
Invisalign offers a more aesthetically pleasing, convenient, and comfortable orthodontic treatment experience. The most notable benefits include:
- Improved Aesthetics – The clear aligners are discreet and allow individuals to straighten their teeth without drawing attention to their orthodontic treatment.
- Reduced Discomfort and Fewer Dental Visits – The absence of brackets and wires reduces the likelihood of discomfort or irritation typically associated with traditional braces. Additionally, Invisalign treatment typically requires fewer visits to the dental office compared to regular braces, as there is no need for frequent adjustments or wire changes.
- No Dietary Restrictions – Since the aligners are removable, patients can simply take them out to brush, floss. This means individuals can continue enjoying their favorite foods without worrying about damaging brackets or wires, as with traditional braces.
- Removability – Unlike braces, which can make brushing and flossing more challenging, Invisalign allows easy access to thoroughly clean teeth.
What does All-Inclusive Mean?
Initial Consult
X-Rays
Photos
All Visits
Scanning/Impressions
All Invisalign® Treatment
Any Necessary Corrections
Free Set of Containers
Invisalign Treatment Process
At Plymouth Bay Dental, we offer a comprehensive Invisalign treatment process designed to give you the smile of your dreams. From the initial consultation to the final results, our experienced team will guide you through each step, ensuring a comfortable and effective Invisalign journey.
- Initial Consultation and Examination – The first step is to schedule an initial consultation with our experienced dental team. During this appointment, your dentist will thoroughly examine your teeth and discuss your orthodontic goals.
- Digital Impressions and Treatment Planning – If Invisalign is deemed suitable for your needs, digital impressions of your teeth will be taken using advanced 3D scanning technology. This process eliminates the need for messy traditional dental impressions. The digital impressions will be used to create a detailed treatment plan that maps out the precise movements of your teeth throughout the Invisalign process.
- Customized Aligner Fabrication – Once the treatment plan is finalized, your aligners will be custom-made specifically for you. Each set of aligners is designed to fit your teeth comfortably and gradually move them into their desired positions.
- Regular Progress Check-Ups and Adjustments – Throughout your Invisalign treatment, you will have regular check-up appointments at Plymouth Bay Dental. These visits allow your dentist to monitor your progress and make any necessary adjustments. Typically, every 6 to 8 weeks, you will receive a new set of aligners, which will continue to guide your teeth toward their ideal positions.

Why Choose Plymouth Bay Dental for Invisalign?
Don't let misaligned teeth hold you back from smiling with confidence. At Plymouth Bay Dental, we are dedicated to helping you achieve the straight, beautiful smile you deserve through our top-notch Invisalign treatment services in Plymouth, MA. Schedule your consultation and let us guide you on your journey to a more confident, straighter smile with Invisalign.











